- Posted on 20 Feb 2025
- 5-minute read
It isn’t a medical term – but "double pneumonia" is being used to describe a complex condition that’s put Pope Francis in hospital. Brian Oliver and Min Feng explain the scope of the infection and how it can be treated.

Pope Francis has been in hospital for more than a week with what some media reports are now calling “double pneumonia”.
The Vatican released a statement on Tuesday evening saying
laboratory tests, chest X-rays, and the clinical condition of the Holy Father continue to present a complex picture.
The 88-year-old Catholic leader has a long history of respiratory illness.
So, what makes this bout of pneumonia – a severe lung infection – so “complex”? And how will it be treated?
What is double pneumonia?
Pneumonia is a serious infection that fills the lungs with liquid or pus and can make it difficult to breathe. People may also have chest pain, cough up green mucus and have a fever.
“Double pneumonia” is not an official medical term. It may be being used to describe two different aspects of Pope Francis’s condition.
1. A bilateral infection
Pope Francis has pneumonia in both lungs. This is known as “bilateral pneumonia”.
An infection in both lungs doesn’t necessarily mean it’s more severe, but location is important. It can make a difference which parts of the lung are affected.
When just one part of the lung or one lung is affected, the person can continue to breathe using the other lung while their body fights the infection.
However when both lungs are compromised, the person will be receiving very little oxygen.
2. A polymicrobial infection
The Vatican has also said the infection affecting Pope Francis’s lungs is “polymicrobial”.
This means the infection is being caused by more than one kind of microorganism (or “pathogen”).
So, the cause could be two (or more) different kinds of bacteria, or any combination of bacteria, virus and fungus. It’s vital to know what’s causing the infection to effectively treat it.
How is it diagnosed?
Usually, when someone presents with suspected pneumonia the hospital will sample their lungs with a sputum test or swab.
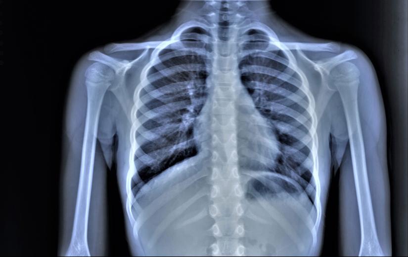
They will often also undergo an X-ray, usually to confirm which parts of the lung are involved.
Healthy lungs look “empty” on an X-ray, because they are filled with air. But pneumonia fills the lungs with fluid.
This means it’s usually very easy to see where pneumonia is affecting them, because the infection shows up as solid white mass on the scan.

How is it treated?
The sputum or swab helps detect what is causing the infection and determine treatment. For example, a specific antibiotic will be used to target a certain bacterium.
Usually this works well. But if the infection is polymicrobial, the normal treatment might not be effective.
For example, the antibiotics may work on the bacteria. But if there’s also a virus – which can’t be treated with antibiotics – it may become the dominant pathogen driving the infection.
As a result, the patient may initially respond well to medication and then begin deteriorating again.
If the infection is caused by multiple bacteria, the patient might be given a broad-spectrum antibiotic rather than a single targeted drug.
A viral infection is harder to treat, as the anti-viral drugs that are available aren’t very effective or targeted.
In severe cases, a patient will also need to be in intensive care on a breathing machine because they can’t breathe alone. This helps make sure they receive enough oxygen while their body fights the infection.
Who is most susceptible?
It’s possible to recover, even from severe infections. However having pneumonia can damage the lungs, and this can make a repeat infection more likely.
Most people will never have a severe infection from these same pathogens. They may only experience a minor cold or flu, because their immune system can adequately fight the infection.
However, certain groups are much more vulnerable to developing a serious case of pneumonia.
Risk factors include:
- age: babies under two, whose immune systems are still developing, and adults over 65, who tend to have weakened immune systems
- lung damage: previous infections can cause scarring
- lung disease: for example, if you have emphysema or chronic obstructive pulmonary disease
- being a smoker
- immunosuppression: if your immune system is weakened, for example by medication you take after a transplant or during cancer treatment.
Pope Francis has a number of these risk factors. The pontiff is 88 years old and has a history of respiratory illness.
He also had pleurisy (a condition that inflames the lungs) as a young adult. As a result, he had part of one lung removed, making him susceptible to lung infections.
On Tuesday, the Vatican said Pope Francis remains “in good spirits” while he receives medical care and is grateful for the support he has received.
Brian Oliver, Professor, School of Life Sciences, University of Technology Sydney and Min Feng, PhD Candidate in Respiratory Disease, University of Technology Sydney
This article is republished from The Conversation under a Creative Commons license. Read the original article.